小鼠胚胎成纤维细胞疏散
业务简介
疏散小鼠胚胎并进行原代培养,是胚胎干细胞培养的第一个也是最重要的阶段。小鼠胚胎成纤维细胞能提供胚胎干细胞生长的物质及要害性因子,从而用于支持鼠和人胚胎干细胞的生长并维持未分化的状态。

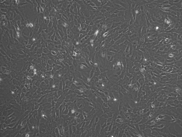
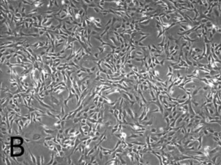
小鼠胚胎成纤维细胞
OG视讯大厅优势
质控严格:经过细菌、真菌、支原体等多种检测,确保细胞洁净无污染。
品质保证:多年胚胎成纤维细胞制作经验,ES基因打靶自用,品质保证。
一站式服务:定制小鼠模型、疏散模型胚胎成纤维细胞一站式服务。
多种抗性现货产物:可定制供应多种小鼠品系的胚胎成纤维细胞。
业务详情
取孕期13.5天的小鼠,将小鼠的胚胎从子宫中取出,去除头部和四肢,只保留躯干,经胰酶、螯合剂(常用EDTA)处置惩罚,疏散成单细胞,置MEF生长培养基中培养,使细胞得以生存、生长和繁殖。

小鼠胚胎成纤维细胞的疏散及饲养层细胞的制备

13.5天小鼠胚胎

小鼠胚胎成纤维细胞
业务流程

